buscape

quarta-feira, 27 de fevereiro de 2013

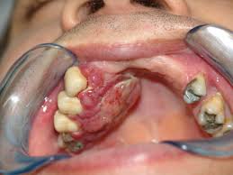
Câncer de boca no Brasil



O câncer bucal no Brasil tem alta incidência, constituindo um importante problema de saúde pública. No entanto é uma doença que poderia ser controlada através de uma menor exposição aos fatores de risco e de um diagnóstico precoce.
De incidência e de morbidade, o Carcinoma Epidermóide encontra-se, entre os índices de câncer oral, mais elevados do mundo.
Os fatores mais influentes para o desenvolvimento do câncer bucal são o álcool e o tabaco em qualquer de suas formas. Herranz González- Botas (2001) asseguram que 95 % das neoplasias malignas da boca são carcinomas epidermóides, que acometem pessoas do gênero masculino, de cor branca, com idade superior a 50 anos, com baixa renda e grau de instrução precário, com maior incidência na língua, sendo um importante problema de saúde pública, cujas taxas
O ministério da saúde sendo o responsável pela política de controle de câncer, no Brasil, tem entre suas metas a educação da população sobre a prevenção da exposição a fatores de risco para o câncer. Para isso, é necessário conhecer os hábitos e costumes dessa população, no que diz respeito à prevenção, diagnóstico precoce e conhecimento da doença. 
                                  

Nenhum comentário:

Postar um comentário